Необходимо е да започнем с факта, че най-простите организми са се появили много отдавна; те се смятат за най-древните обитатели на планетата. В хода на своето съществуване те са станали невероятно устойчиви на различни предизвикателства. Те могат да оцелеят дори в най-опасните среди.
Тези микроорганизми са избрали много удобен начин на съществуване за себе си - паразитизъм, по-специално в човешкото тяло. Както споменахме по-рано, тези микроорганизми са невероятно „вредни“ и устойчиви, поради което понякога е толкова трудно да се отървете от тях.
Има няколко вида места, където „пребивават“ паразитите. Първият тип включва ендогенни микроорганизми, тоест тези, които са вътре в човешкото тяло. Вторият тип включва екзогенни паразити, които доброволно се „заселват“ върху кожата и причиняват различни кожни заболявания.
Видове протозойни паразити
По принцип има 4 вида паразити, които „живеят добре“ в човешкото тяло.
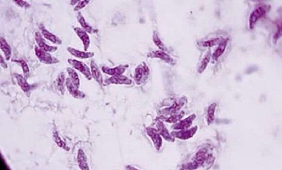
Камшичести
Те включват Giardia и Trypanosomes. Този клас е представител на най-древните представители на паразитите. Те получиха това име поради органа на тяхното движение: флагели. Размерът на самите паразити е просто микроскопичен, те имат постоянна форма и се размножават като правило чрез разделяне на две части.

Те са много опасни за хората и животните; ако влязат в телата им, причиняват голяма вреда. Те също причиняват различни заболявания. Като американска сънна треска, кожна лайшманиоза и много други. Те могат да паразитират в червата, в кръвта и по кожата. По този начин се отразява негативно на човешкото здраве.
Споровци
Този вид протозойни паразити имат много сложен път на развитие. По това време е известно, че класът включва приблизително 1400 вида. Всички представители "избират" паразитен начин на живот и са изключително опасни за хората и животните. Възпроизвеждането става чрез клетъчно делене.

Най-често за „място на пребиваване“ се избират човешки или животински тъкани и органи. Този вид причинява много заболявания. Например, като малария, токсоплазмоза.
Ресничести
Те включват балантидии. Има около 7000 различни вида. Органите на движение на тези паразити са ресничките, от които има много.

Особеност на този тип е наличието на две ядра. Имат постоянна форма на тялото и черупката. Размножаването обикновено става в резултат на разделяне. Този вид е не по-малко опасен за хората и животните от предишните два.
Sarcodaceae
Те включват амеба дизентерия. Те са най-примитивните от всички видове и класове. Има около 10 000 различни вида! Те нямат постоянна форма на тялото. Те са паразитни при хора и животни.

Най-често те избират храносмилателната система за своите дейности. Заради тях може да настъпи много сериозно отравяне при хората. В някои случаи смъртните случаи са чести.
Тези видове са обединени от висока устойчивост на различни „тестове“. В края на краищата, заразеният човек постоянно се опитва да се бори с паразитите, но не винаги се получава, защото може да устои на всички мерки.
Защо са опасни, какви болести причиняват?
Протозойните паразити наистина са много опасни за човешкото здраве. Те могат да причинят различни заболявания, които водят до определени последствия. В никакъв случай не трябва да се подценяват протозойните паразити, защото те могат значително да навредят на човек.
Заболявания, причинени от протозойни паразити:
Малария
Това заболяване се характеризира с определени промени. Понякога има облекчение, след което облекчението се заменя с обостряне на симптомите. Основните симптоми са главоболие, треска, гадене, повръщане и конвулсии.

В продължение на много години хитинът е смятан за най-доброто лечение. Смъртните случаи от това заболяване обаче се случват най-често там, където медицината е развита на ниско ниво.
Амебиаза
Друго не по-малко опасно заболяване, последиците от което също могат да бъдат тъжни. Причинителят е амеба дизентерия.
Симптомите започват да се появяват 7-10 дни след заразяването. Те включват главоболие, общо неразположение, треска и някои хора могат да имат стомашно разстройство. Следват усложнения, които се изразяват в проблеми с черния дроб. Ако пациентът не започне своевременно лечение и не се консултира със специалист, последствията ще бъдат необратими.
Токсоплазмоза
Причинителят на заболяването е Toxoplasma gondii. Симптомите на това заболяване включват увреждане на очите, страда нервната система, както и сърдечно-съдовата система. Много често в началото инфекцията е незабележима и преминава като обикновена настинка.

Инфекцията по време на бременност е много опасна. Дори детето да оцелее, най-вероятно ще е с усложнения и увреждане на очите или нервната система. Ето защо, дори при първите симптоми, е наложително да се консултирате с лекар.
Балантидиаза
Причинява се от микроорганизъм като балантидия. Симптомите на това заболяване включват коремна болка и лошо храносмилане. В някои случаи е възможна и висока температура и интоксикация на тялото.
Лайшманиоза
Причинителят на това заболяване се счита за лейшмания. При кожни и лигавични прояви се появяват язви. При мукокутанни прояви често може да се появи подуване. Тъй като тези заболявания са свързани с дихателните пътища, може да има смъртни случаи.
Лайшманиозата се среща главно в горещи страни. Това заболяване е доста разпространено и се среща в 87 страни.
Както можете да видите, протозойните паразити са невероятно опасни за човешкото здраве, въпреки простата структура на микроорганизмите. Те могат да причинят непоправима вреда на човешкото тяло, както и да доведат до определени последствия и усложнения.
Как се предават?
Има 4 най-често срещани метода на заразяване:
- Контактно - битови. Този вид възниква поради нарушаване на санитарните мерки или хигиенните правила. Инфекцията може да възникне от различни действия: използване на неща на други хора, особено продукти за лична хигиена, съдове и други подобни. Ето защо е много важно да спазвате правилата за лична хигиена, да имате свои собствени продукти за лична хигиена и при никакви обстоятелства да не използвате чужди.
- Фекално – орално. Този вид възниква в резултат на контакт с изпражнения или повръщано. Протозойният паразит първо попада в ръцете или в храната на „новия гостоприемник“, а след това в тялото му.
- От храна. Този вид възниква в резултат на консумация на замърсени храни. Това може да бъде недобре сготвена риба или месо, неизмити зеленчуци и плодове и млечни продукти.
- Трансмисивна. Този тип възниква в резултат на предаване от заразен обект по време на ухапване, тоест чрез слюнка.
Как да се отървете от тях
След като прочетете статията, този въпрос със сигурност възниква. Инфекциите с протозойни паразити са много чести, така че въпросът за премахването им е изключително важен.
Както бе споменато по-рано, когато се появят първите симптоми на инфекция, трябва да се консултирате с лекар. Специалистът може да предпише определени изследвания и изследвания. След като ги премине, лекарят ще постави точна диагноза. След това трябва спешно да започнете лечение. Също така не се препоръчва да се самолекувате, тъй като професионалистът може да ви помогне да поставите правилната диагноза и да предпише подходящо лечение. В повечето случаи лекарите прибягват до лечение с различни лекарства, които помагат за премахване на паразитите и ускоряват възстановяването на човек.
В днешно време има много различни добри лекарства, които помагат при инфекции с протозойни паразити. На пазара има огромно разнообразие от лекарства, което позволява да се намери най-подходящото за конкретен пациент.
Превантивни мерки
За да не се сблъскате с горните проблеми, е необходимо да се придържате към определени правила, както и да предприемете превантивни мерки.
Най-ефективните правила са тези, които децата учат в училище. На първо място, не трябва да забравяме старателното измиване на плодовете и зеленчуците. Можете също да го сготвите или да отрежете кожата.
След това не можете да ядете сурова риба или недопечено месо. Необходимо е ястието да се подготви напълно, да се спазват температурните и времеви условия, за да се приготви напълно продуктът. Трябва да се избягват случайни сексуални контакти. Също така е необходимо да се подлагат на редовни медицински прегледи.













